I | J | K | L | M
I
icosahedral (n. icosahedron) 
having 20 faces, as a polyhedral virus particle (see also isometric)
immune 
cannot be infected by a given pathogen
immunoassay
a detection method based on antibodies specifically selected to react with the substance to be detected (the antigen)
immunosupressant
a chemical or activity that suppresses the natural immune responses in animals, including humans
imperfect fungi
an archaic term for a group of fungi without a sexual stage; also, the asexual stage of members of the Ascomycota (the ascomycetes) and the Basidiomycota (the basidiomycetes) (see also deuteromycetes, Fungi Imperfecti)
imperfect state 
the asexual form in the life cycle of a fungus, when asexual spores (such as conidia) or no spores are produced (see also anamorph) (contrasts with holomorph, perfect state, teleomorph)
in planta
in a plant
in situ
in its original place or environment
in vitro 
in glass, on artificial media, or in an artificial environment; outside the host
in vivo 
within a living organism
inclusion body 
a structure developed within a plant cell as a result of infection by a virus, often useful in identifying the virus
incomplete dominance
the interaction of alleles of a gene that produces an intermediate phenotype, as in the production of pink flowers when red and white alleles are present in a heterozygous individual
incubation period
the time between penetration of a host by a pathogen and the first appearance of disease symptoms; the time during which microorganisms inoculated onto a medium are allowed to grow
indehiscent
not opening or with no special method of opening, as in anthers, asci, fruiting bodies, fruits, sporangia, etc. (contrasts with dehiscent)
indeterminate 
continuing to grow vegetatively while producing flowers or reproductive structures (contrasts with determinate)
indexing

testing of a plant for infection, often by mechanical transmission or by grafting tissue from it to an indicator plant
indicator plant 
a plant that reacts to a pathogen or an environmental factor with specific symptoms and is used to detect or identify the pathogen or determine the effects of the environmental factor
indirect penetration 
the penetration of plant tissues by a pathogen through natural openings (e.g., stomata) or wounds (contrasts with direct penetration)
induced
produced in response to a stimulus (contrasts with constitutive)
induced systemic resistance (acronym ISR)
the reduced disease symptoms on a portion of a plant distant from the area where the inducing agent is active, caused by the triggering of active plant defenses against a variety of pathogens; used to describe increased resistance in plants induced by certain rhizobacteria (see also systemic acquired resistance, acronymn SAR)
infect
(n. infection)
to enter, invade, or penetrate and establish a parasitic relationship with a host plant
infection court
a site in or on a host plant where infection can occur
infection cushion
an organized mass of hyphae formed on the surface of a plant from which numerous infective hyphae develop
infection focus 
an initial site of infection, followed by secondary spread, generally with reference to a population of plants
infection peg 
the specialized, narrow hyphal strand on the underside of an appressorium that penetrates host cells (see also penetration peg)
infection period
the time required for infection to occur under conducive environmental conditions (usually hours of leaf wetness and temperature for foliar pathogens)
infectious 
pertaining to a disease that is caused by a biotic agent capable of spreading from plant to plant (see also biotic) (contrasts with abiotic, noninfectious)
infective
referring to an organism able to attack a host and cause infection; referring to a vector carrying or containing a pathogen and able to transfer it to a host plant
infest
(n. infestation) 
to attack as a pest (used especially of insects and nematodes); to contaminate, as with microorganisms; to be present in large numbers
inflorescence
a flower or flower cluster
initial inoculum
the inoculum, usually from an overwintering source, that initiates disease in the field, as opposed to inoculum that spreads disease during the season (see also primary inoculum) (contrasts with secondary inoculum)
injury 
the damage caused by transitory interaction with an agent such as an insect, chemical, or unfavorable environmental condition
inner bark
the interior, living portion of the bark; secondary phloem (contrasts with outer bark)
inoculate
(n. inoculation)
to place inoculum in an infection court; to insert a pathogen into healthy tissue
inoculum
(pl. inocula)
a pathogen or its parts, capable of causing infection when transferred to a favorable location
inoculum density
a measure of the number of propagules of a pathogenic organism per unit area or volume
inorganic
not derived from living material
insect
a member of the class Hexapoda (phylum Arthropoda) possessing three sets of limbs attached to a central body segment
insecticide
a chemical or physical agent that kills insects
instar
one of the stages of growth between molts, in the life history of certain insects
integrated pest management (acronym IPM)
a combination of strategies to reduce losses due to pests and pathogens based on environmental and economic considerations
intercellular 
between or among cells
intercrop
to grow two or more crops simultaneously on the same area of land
internode (adj. internodal)
the portion of a stem between two successive nodes
internal transcribed spacers (acronym ITS)
the regions of a DNA sequence that separate genes for certain ribosomal RNAs (rRNAs). These genes appear to be nearly identical among a wide variety of species, but the DNA spacers between them are quite variable and may be species specific. This makes them good potential targets for "primers" for polymerase chain reaction (PCR) amplification, which is used to identify a wide variety of organisms.
interveinal 
between (leaf) veins
intracellular 
through or within cells
intumescence 
the blisters produced on leaves and other plant parts under conditions of high moisture and restricted transpiration (see also edema, oedema)
IPM (acronym for integrated pest management)
a combination of strategies to reduce losses due to pests and pathogens based on environmental and economic considerations
isolate 
(n.) a culture or subpopulation of a microorganism separated from its parent population and maintained in some sort of controlled circumstance;
(v.) to remove from soil or host material and grow in pure culture
isometric 
usually used to describe virus particles that are icosahedral in structure and appear approximately round (see also icosahedral)
ITS (acronym for internal transcribed spacers)
the regions of a DNA sequence that separates genes for certain ribosomal RNAs (rRNAs). These genes appear to be nearly identical among a wide variety of species, but the DNA spacers between them are quite variable and may be species specific. This makes ITS regions good potential targets for "primers" for polymerase chain reaction (PCR) amplification, which is used to identify a wide variety of organisms.
J
juvenile

an immature form that appears similar to but usually smaller than the adult and is not sexually mature (e.g., insects with gradual metamorphosis, nematodes)
K
karyogamy 
the fusion of nuclei
Koch's postulates
the procedure used to prove the pathogenicity of an organism, i.e., its role as the causal agent of a disease
knot 
an abnormal swelling or localized outgrowth, often roughly spherical, produced by a plant as a result of attack by a fungus, bacterium, nematode, insect, or other organism (see also gall, tumor)
L
lamina 
the expanded part of a leaf (contrasts with petiole)
land race
a plant stock selected by farmers on a local basis over many years
larva
(pl. larvae)

an immature stage of certain animals (especially insects) that undergo complete metamorphosis; the wormlike or caterpillar stage of the life cycle of such insects
latent
present but not manifested or visible, e.g., a symptomless infection by a pathogen
latent infection 
an infection unaccompanied by visible symptoms
latent period 
the time between infection and the production of new inoculum; the time after a vector has acquired a pathogen and before it can be transmitted
lateral bud 
a bud that develops in the axil of a leaf (see also axillary bud)
LD50 (abbrev. for lethal dose 50%)
a measure of relative acute toxicity; the dose of a compound that causes death in 50% of the test population treated
leaf dip
the inspection of a sample of sap from a suspected virus-infected leaf using an electron microscope
leaf sheath
the lower, tubular part of a grass leaf that clasps the culm
leaf spot 
a plant disease lesion typically restricted in development in the leaf after reaching a characteristic size
leafhopper 
a mobile insect with sucking mouthparts (order Hemiptera)
leaflet 
one of the separate blades or divisions of a compound leaf
leafroll 
a disease symptom in which the edges of the leaf roll or turn, either up or down; often a symptom of virus infection
legume
a simple, dry, dehiscent fruit developed from a simple pistil and splitting at maturity along two seams; a plant of the family Fabaceae (formerly Leguminosae)
lenticel
a natural opening in the surface of a fruit, root, stem, or tuber for gas exchange
lesion

a localized diseased area or wound
life cycle
the cyclical stages in the growth and development of an organism
ligase
an enzyme that catalyzes a reaction in which two molecules are linked together, such as linking cut pieces of DNA
lignification
the hardening of tissue through the deposition of lignin in the cell wall
lignin
a complex organic substance or group of substances that impregnate the cell walls of xylem vessels and certain other plant cells; a major constituent of wood
local lesion

a small, restricted lesion, often the characteristic reaction of differential cultivars to specific pathogens, especially in response to mechanical inoculation with a virus
lodge 
to fall over
lumen
(pl. lumina)
the central cavity of a cell or other structure
M
macerate
to cause disintegration of tissues by separation of cells; to soften by soaking
macroconidium
(pl. macroconidia)

the larger of two kinds of conidia formed by certain fungi (contrasts with microconidium)
macrocyclic 
pertaining to a rust fungus that typically exhibits all five stages of the rust life cycle (contrasts with demicyclic, microcyclic)
macronutrient 
an element needed in relatively large quantities for plant growth, e.g., nitrogen (N), phosphorus (P), and potassium (K); (contrasts with micronutrient)
MAMPS (acronym for microbe-associated molecular patterns)
the molecular signals or elicitors from microbes, including pathogens, that are recognized by plant or animal receptors andt can influence innate immunity of the host (see also pathogen-associated molecular patterns, acronym PAMPS)
mantle 
a dense hyphal mass of an ectomycorrhizal fungus enclosing the short feeder roots of plants (see also hyphal sheath)
marker-assisted selection
a procedure used in plant breeding in which genetic markers that are (a) easy to identify and (b) linked to desirable genetic traits that are difficult to identify (such as disease resistance) are used to aid in selection from a population
market-basket survey
the systematic collection and testing of foods available for purchase by consumers for pesticides and other potential contaminants
maternal inheritance
the inheritance of nonnuclear genes, i.e., those in mitochondria and chloroplasts (see also cytoplasmic inheritance, extrachromosomal inheritance)
mating types 
the two compatible strains, usually designated + and - or A and B, necessary for sexual reproduction in heterothallic fungi
mechanical injury 
an injury of a plant part by abrasion, mutilation, or wounding
mechanical transmission 
the spread or introduction of inoculum to an infection court (wounding) by human manipulation, accompanied by physical disruption of host tissues
medium (pl. media) 
a mixture of organic and/or inorganic chemical compounds and water that provides the nutrients needed for the growth of a microorganism in vitro; for higher plants, a mixture of fertilizers and other components in which a plant is growing
meiosis 
a process of nuclear division in which the number of chromosomes per nucleus is halved, i.e., converting the diploid state to the haploid state (contrasts with mitosis)
melanin 
a brown-black pigment; common in sclerotia and other survival structures
meristem (adj. meristematic) 
a plant tissue characterized by frequent cell division, producing cells that become differentiated into specialized tissues
meristem culture 
the aseptic in vitro culture of a plant or plant part from a portion of the meristem; a method used to produce pathogen-free plants
messenger RNA (acronym mRNA) 
a form of RNA that carries information to direct the synthesis of protein
metabolite
any chemical participating or resulting from metabolism; a nutrient
microbe
an organism of such small size that it can only be seen as an individual organism with the aid of a microscope (see also microorganism)
microbe-associated molecular patterns (acronym MAMPS)
the molecular signals or elicitors from microbes, including pathogens, that are recognized by plant or animal receptors and can influence innate immunity of the host (see also pathogen-associated molecular patterns, acronym PAMPS)
microbial
pertaining to or relating to microbes or microorganisms
microclimate
weather conditions on a small scale, e.g., at the surface of the plant or within a crop
microconidium
(pl. microconidia)

the smaller of two kinds of conidia formed by certain fungi (contrasts with macroconidium)
microcyclic 
pertaining to a rust fungus that produces only teliospores and basidiospores (contrasts with demicyclic, macrocyclic)
microflora
the combination of all microorganisms in a particular environment
micron (syn. micrometer)
one millionth of a meter
micronutrient 
an essential element needed by plants for growth and required in very small amounts (contrasts with macronutrient)
microorganism
an organism of such small size that it can only be seen as an individual organism with the aid of a microscope (see also microbe)
microsclerotium
(pl. microsclerotia)

a microscopic, dense aggregate of darkly pigmented, thick-walled hyphal cells
middle lamella
the layer, consisting largely of pectic substances, between the walls of adjacent plant cells
midrib
the central, thickened vein of a leaf
migratory 
moving from place to place on a plant or from plant to plant when feeding (contrasts with sedentary)
mildew

a thin coating of mycelial growth and spores on the surfaces of infected plant parts
mitochondrion (pl. mitochondria)
a cellular organelle outside the nucleus that functions in respiration
mitosis 
a nuclear division in which the chromosome number remains the same (contrasts with meiosis)
MLO (acronym for mycoplasmalike organism) 
an archaic term for phytoplasma; plant-parasitic pleomorphic mollicute (prokaryote with no cell wall) found in phloem tissue; cannot yet be grown on artificial nutrient media (see also phytoplasma)
mode of action
the mechanism by which a pesticide, drug, or other biologically active chemical functions
mold

any microfungus with conspicuous, profuse, or woolly superficial growth (mycelium and/or spore masses) on various substrates, especially an economically important saprobe; molds commonly grow on damp or decaying matter and on the surfaces of plant tissues
mollicute

one of a group of prokaryotic organisms bounded by flexuous membranes and lacking cell walls (see also phytoplasma, spiroplasma)
molt 
to shed a cuticle or body encasement during a phase of growth
monoclonal antibodies 
the identical antibodies produced from clones of a single antibody-producing cell (contrasts with polyclonal antibodies)
monocot or monocotyledon 
a plant with one cotyledon, such as grasses, grain crops, corn (contrasts with dicot)
monoculture 
the growth of the same plant species in close proximity, with few or no other types of plant present (contrasts with polyculture)
monocyclic 
having one disease or life cycle per growing season (contrasts with polycyclic)
monoecious
having male and female organs on the same individual; in plants, often refers to separate male and female flowers on the same individual (contrasts with dioecious)
monogenic 
determined by a single gene (contrasts with polygenic)
monogenic resistance
a resistance conferred by a single gene (see also single gene resistance) (contrasts with multigenic resistance, oligogenic resistance, polygenic resistance)
monoxenic culture
a culture containing one species of organism growing in the presence of one other species of organism
morphology (adj. morphologic)
the study of the form of organisms; form and structure of organisms
mosaic

a disease symptom characterized by nonuniform coloration, with intermingled normal, light green and yellowish patches, usually caused by a virus (see also mottle)
motile 
capable of self-propulsion by means of flagella, cilia, or amoeboid or swimming movement
mottle

a disease symptom comprising light and dark areas in an irregular pattern, usually caused by a virus (see also mosaic)
movement protein
for viruses, a protein encoded by the pathogen that is required for spread within an infected plant
mRNA (abbrev. for messenger RNA) 
a form of RNA that carries information to direct the synthesis of protein
mucilaginous 
viscous, slimy
mulch 
a layer of material, such as organic matter or plastic, applied to the surface of the soil for purposes such as retention of water and inhibition of weeds
multicellular
composed of many cells (contrasts with unicellular)
multigenic resistance
resistance conferred by several genes (see also polygenic resistance) (contrasts with monogenic resistance, oligogenic resistance, single gene resistance)
multiline 
a mixture of cultivars that differ only in single, major genes for resistance to a pathogen, giving the opportunity to modify the mixture from year to year as needed
multinucleate 
having more than one nucleus per cell (contrasts with uninucleate)
multiparticulate virus
a plant virus in which the genome is divided into more than one piece of nucleic acid encapsidated in more than one particle
multipartite virus
a plant virus in which the genome is divided into more than one piece of nucleic acid
multiseptate

having many septa or crosswalls
mummy

a dried, shriveled fruit; plant part or organ partially or completely replaced with fungal structures
mushroom 
a fleshy fruiting body of a fungus, especially of a member of the Basidiomycota (the basidiomycetes) of the family Agaricaceae
mutagen
a substance that causes a mutation
mutation (n. mutant) 
an abrupt heritable or genetic change in a gene or an individual as a result of an alteration in a gene or chromosome, or of an increase in chromosome number
mutualism
a relationship between organisms in which both benefit
Mycelia Sterilia 
an archaic term for a group in the Fungi Imperfecti (also an archaic term) that does not produce spores, but may produce chlamydospores or sclerotia, e.g., Rhizoctonia and Sclerotium; subsequent research has determined sexual reproduction for some species
mycelium
(pl. mycelia, adj. mycelial)

a mass of hyphae constituting the body (thallus) of a fungus
mycology
the study of fungi
mycoherbicide
a pathogenic fungus used as a biological control agent to manage weeds or other undesirable plants
mycoparasite
a fungus that attacks another fungus
mycoplasmalike organism (acronym MLO) 
an archaic term for phytoplasma; plant-parasitic pleomorphic mollicute (prokaryote with no cell wall) found in phloem tissue; cannot yet be grown on artificial nutrient media (see also phytoplasma)
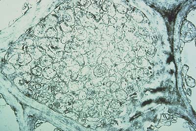
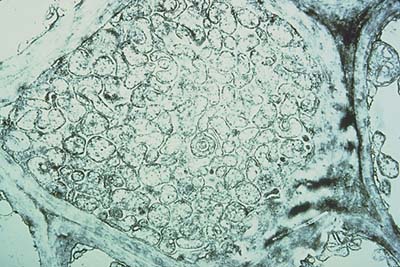
mycorrhiza
(pl. mycorrhizae; adj. mycorrhizal)

a symbiotic association between a nonpathogenic or weakly pathogenic fungus and the roots of plants (see also ectomycorrhiza and endomycorrhiza)
mycotoxin 
a poisonous compound produced by a fungus
mycovirus 
a virus that infects fungi
myxomycete 
an informal term for a member of the Myxomycota
Myxomycota
a group of nonpathogenic funguslike organisms that form a vegetative amoeboid plasmodium and spores; myxomycetes (see also slime molds)