| Fusarium wilt |
|
|
 |
|
 |
| C9.1. Fusarium wilt of watermelon showing only one runner wilted. |
|
C9.2. Field of tomatoes with Fusarium wilt. Note yellowed lower leaves. |
| |
|
|
 |
|
|
| C9.3. Panama disease (Fusarium oxysporum f. sp. cubense) of banana. Note the numerous wilted lower leaves of the diseased plants. |
|
C9.4. Bunches of different banana clones at the Fundación Hondureña de Investigación Agrícola (FHIA) in Honduras. Note the diversity of bunch and fruit phenotypes. |
|
|
|
 |
|
|
| C9.5. Market in Malawi where several banana cultivars are for sale by traditional farmers. |
|
|
| |
|
|
| Biological Control |
|
|
 |
|
 |
| C9.6. Biological control of Aphanomyces root rot of peas. Left, pea seeds coated with bacteria. Right, pea seeds treated with a fungicide. All plants were inoculated with zoospores of the pathogen. . |
|
C9.7. Some examples of commercial biological control products (biopesticides).
. |
|
|
|
Nematodes |
|
|

|
|

|
| C9.8. Dog hookworm mouth (Ancyclostoma canium) (light micrograph).
.
|
|
C9.9. Heterorhabditis nematodes produced in an insect larva. These nematodes can be used for biological control of certain insect pests. |
|
|
|
|
 |
|
 |
| C9.10. Foliar nematodes (Aphelenchoides species) swim in water to aboveground plant surfaces, damaging many ornamental plants such as chrysanthemum. Feeding damage produces necrosis, generally from the bottom of the plant up |
|
C9.11. Red ring disease of coconut, caused by the nematode Rhadinaphelenchus cocophilus which is spread by insect vectors.
|
|
|
|
 |
|
 |
| C9.12. Typical symptoms of nematode damage in the field include stunted plants, often in a somewhat circular pattern. The carrots in this Massachusetts field are heavily infected by the lesion nematode, Pratylenchus penetrans. |
|
C9.13. Necrotic lesions on corn roots infected by lesion nematodes.
|
|
|
|
 |
|
 |
| C9.14. Lesion nematode (Pratylenchus species) in a plant root (light micrograph).. Note the stylet, which is the feeding structure (as indicated by the arrow). |
|
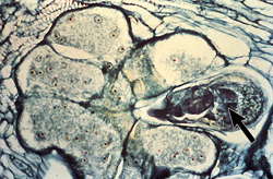
C9.15. Cross-section of the giant cell system initiated by a female root-knot nematode (arrow) (light micrograph). |
|
|
|
 |
|
 |
C9.16. Root-knot nematode female with egg mass (arrow) (light micrograph).
|
|
C9.17. Left, roots of lettuce cultivar Salinas, which is resistant to root-knot nematodes. Right, roots of the lettuce cultivar Ithaca, which is susceptible. |
|
|
|
 |
|
 |
| C9.18. Soybean cyst nematode females (which appear as small, whitish-yellow bodies) erupting through the soybean root surface. The large nodule contains nitrogen-fixing bacteria. |
|
C9.19. A brown cyst of a soybean cyst nematode filled with eggs (light micrograph).
|
|
|
|

|
|
 |
C9.20. A field showing reduction in soybean cyst nematode damage in soybean in areas (area to the left), where corn and peanut (nonhosts) were rotated with soybean. The area on the right was planted with soybean continuously
|
|
C9.21. Application of methyl bromide, a soil fumigant, under plastic. Noncritical uses of methyl bromide were phased out in the United States in 2005, because the chemical is considered a threat to the ozone layer. Certain allowances continue to be made for uses for which no technically and economically feasible alternatives have been identified. |
|
|
|
|
|
|
|
|
|